Капельница «Жизнь после COVID 19»
Для тех, кто перенес Коронавирусную инфекцию.
Пн.-Пт. 8:00-20:00; Сб.: 09:00-18:00; Вск.: 10:00-18:00;
Работа в праздники:
22 и 23 февраля - выходные дни
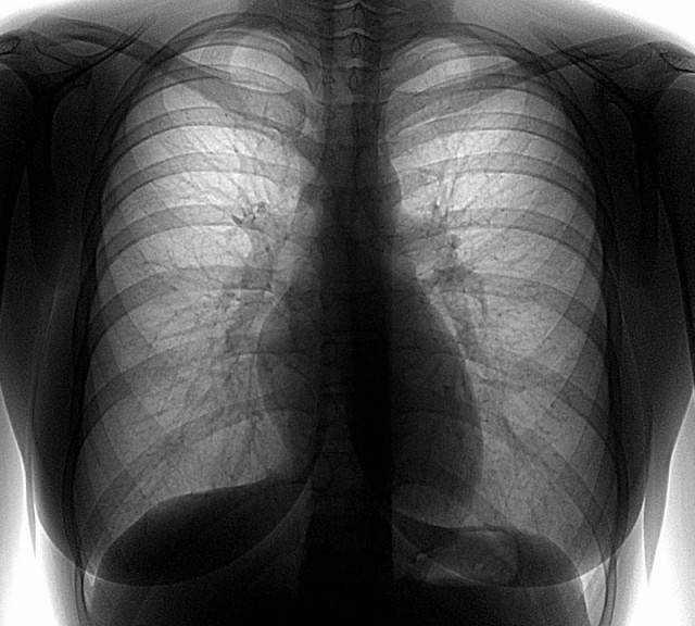
Клиника Скоромед предлагает пройти платную флюорографию на современном оборудовании. Наши филиалы имеют все необходимое для проведения оперативной и качественной рентгенодиагностики. Многим людям периодически нужно быстро сделать флюорографию для медицинского осмотра, продления санитарной книжки, но в государственных учреждениях приходится записываться с самого утра и выстаивать длинную очередь. Наверняка это не входит в ваши планы, особенно если рабочий график расписан по минутам. В филиалах нашей клиники вы за считанные минуты сможете сделать платно флюорографию даже в выходные дни.

Официальный договор
с Центром гигиены
и эпидемиологии

Сделаем флюорографию за 15 минут!

В шаговой доступности
от метро

Без очередей,
в режиме
«единого окна»
Современное оборудование (флюорограф малодозовый цифровой ПроСкан) соответствует мировым стандартам качества и безопасности. Рентгенодиагностика проходит с минимальной лучевой нагрузкой, что позволяет считать флюорографию безопасным и высокоинформативным исследованием, которое применяется в качестве основного скринингового метода при туберкулезе легких.
Обращаем внимание: специальной подготовки к процедуре не потребуется. Однако рекомендуется не переедать перед обследованием: полный желудок может повлиять на положение диафрагмы. Это может привести к погрешностям в результатах исследования. Поэтому в день проведения флюорографии стоит ограничиться легким завтраком.
Рентгенодиагностика является обязательным условием для оформления медкнижек и справок. Также она проводится в неплановом порядке при:
Плановое исследование назначается всем людям один раз в 12 месяцев. Регулярная диагностика позволяет выявлять скрыто протекающие патологии легких, включая туберкулез, пневмокониозы, доброкачественные и злокачественные новообразования.
Беременным женщинам не рекомендуется проходить рентгенодиагностику.
Специалисты Клиники Скоромед в Москве проводят флюорографию по доступным ценам.

Мы располагаем всем необходимым для организации комфортного прохождения медицинских осмотров и современных исследований.
Если вам требуется срочная флюорография, обращайтесь в ООО Скоромед. Вы сможете значительно сэкономить время и получить грамотную лечебно-профилактическую помощь.