Професиональная чистка зубов

В домашних условиях практически невозможно идеально почистить зубы. Поэтому, чтобы убрать налет и зубные камни необходимо периодически обращаться к стоматологу для профессиональной чистки. Специалисты клиники “Скоромед” рекомендуют делать эту процедуру минимум два раза в год. Она помогает восстановить естественный белый цвет зубов и предотвращает развитие серьезных заболеваний ротовой полости (например, гингивит, стоматит и т.д.). Кроме того, регулярная профилактика защищает опорно-удерживающую систему зубов и здоровье десен.

ГИГИЕНА И ПРОФИЛАКТИКА

Наименование услуги

Стоимость

Профессиональная гигиена полости рта и зубов Ультразвук+АйрФло

5 000

Ультразвуковое удаление наддесневых и поддесневых зубных отложений в области зуба

150

Избирательное полирование зуба Щетка паста

100

Обучение гигиене полости рта и зубов индивидуальное, подбор средств и предметов гигиены полости рта

500

Профессиональное отбеливание зубов

7 000

Преимущества чистки зубов у нас

  • опытные профессионалы. Перед процедурой стоматолог-терапевт оценит проблему и подберет оптимальный вариант. Специалист комплексно подходит к заботе о состоянии зубов;

  • современное оборудование. В клинике “Скоромед” используется новейшая немецкая ультразвуковая система, которая бережно и тщательно очищает прикорневую область зуба. При этом вероятность травмирования десневого края исключена.

  • комфортное обслуживание. В работе мы опираемся на европейские стандарты и делаем все, чтобы пациент чувствовал себя максимально уютно. На первом месте у нас стерильность и безопасность. Также, чтобы облегчить процедуру, врач предлагает сделать обезболивающий укол.

Как проходит профессиональная чистка зубов

Профессиональная гигиена полости рта включает в себя:

  • снятие над- и поддесневого зубного камня с помощью ультразвукового аппарата;

  • удаление мягкого налёта и пигментации аппаратом Air flow;

  • полировка поверхностей зуба;

  • профессиональное фторирование зубов.

Заказать обратный звонок

Показания и противопоказания к процедуре

Профилактический осмотр у стоматолога и профессиональная чистка зубов дважды в год предупреждает развитие кариеса и пародонтологических заболеваний. К противопоказаниям данной процедуры относят заболевание горла в активной форме (ОРВИ) и кардиостимулятор (так как на него нельзя воздействовать ультразвуком). Наши специалисты ищут индивидуальный подход для каждого пациента, поэтому мы всегда найдем для Вас подходящий вариант.

  1. Ваша улыбка станет более лучезарной и красивой.

  2. Десны будут капитально защищены от воспаления.

  3. Кариес не будет развиваться.

Реабилитационный период отсутствует. После процедуру вы сразу сможете двигаться дальше по своим делам. Избавьте свои зубы и десна от неприятного налета - запишитесь на профессиональную гигиену полости рта в клинике “Скоромед”. Согласовать время приема можно по указанному телефону.

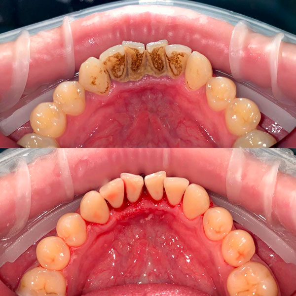
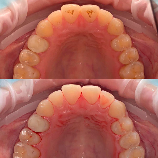
Наши работы

Посмотрите, как будет выглядеть Ваша улыбка после лечения!

Перезвоните мне
Building data...
Оставить заявку
Оставьте ваши контактные данные и наши менеджеры свяжутся с вами в ближайшее время

Записаться на прием

Список документов
  • Выберите услугу и здесь отобразится
    список необходимых документов
    • Паспорт
    • Одна матовая фотография 3x4 . *Либо сможете сфотографироваться у нас в Клинике.
    • Полная информация о сделанных прививках: - прививочный сертификат - амбулаторная карта - справки
    • Патент. (Для иностранных граждан)
    • Регистрация
    • Паспорт
    • Действующая Медицинская книжка
    • Паспорт
    • Паспорт
    • Паспорт
    • Паспорт
    • Паспорт
    • Полное название организации
    • Паспорт
Дата и время*
Дата рождения